ล ม เ ข้าส ม อ ง อาการ โ ค ม่ า เพราะจาม หมอมนูญ เ ตื อ น ใช้หน้ากากอนามัย
ล ม เ ข้าส ม อ ง อาการ โ ค ม่ า เพราะจาม หมอมนูญ เ ตื อ น ใช้หน้ากากอนามัย
แพทย์เผยเคสผู้ ป่ ว ย สู ง อา ยุ เกิดอาการ ลมเข้า ส ม อ ง เนื่องมาจากการจาม รายแรกของโลกเกิดขึ้น 2 ครั้งในเวลาห่างกัน 3 ปีกว่า
นพ.มนูญ ลีเชวงวงศ์ หัวหน้าประจำห้อง ICU โรคระบบการหายใจ ผู้ ป่ ว ย ห นั ก และ โ ร ค ผู้สูงอายุโรงพย าบาลวิชัยยุทธ ได้โพสต์บทความ ถึง ผ ล ก ร ะ ท บ ทางสมอง เนื่องมาจากการจาม โดยระบุว่า “ลมเข้าสมองจากการเอามือปิดจมูกปิดปากขณะ จ า ม รายแรกของโลกเกิดขึ้น 2 ครั้งในเวลาห่างกัน 3 ปีกว่า
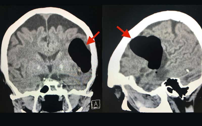
ผู้ ป่ ว ย หญิงไทยอายุ 85 ปี เป็นโ ร ค เ บ า หวานและไขมันสูง เมื่อวันที่ 14 ธันวาคม 2559 มาโรงพย าบาลด้วยอาการพูดไม่ชัด นึกคำพูดไม่ออก หูข้างซ้ายอื้อ มีเสียงดัง หลังจากจามแล้วเอามือปิดจมูกปิดปากพร้อมๆกัน ได้ทำ MRI คลื่นแม่เหล็กสมอง พบมีลม (air pocket)ในเนื้อ ส ม อ ง ข้างซ้ายขนาด 7 × 4 × 3.2 เซนติเมตร ให้การรักษาตามอาการ ผู้ป่วยดีขึ้นช้าๆ และกลับมาเป็นปกติ ทำคอมพิวเตอร์ ส ม อ ง ซ้ำ ลมคงค่อยๆดูดซึมเข้าไปในกระแส เ ลื อ ด หายไปเองภายใน 50 วัน ได้ เ ตื อ น ผู้ ป่ ว ย เวลาจาม ห้ า ม เอามือมาปิดจมูกและเม้มปากอีก เ ด็ ด ข า ด

วันที่ 14 พฤษภาคม 2563 ผู้ ป่ ว ย กลับมา รพ.อีกครั้งหลังจากจามแล้วเอามือปิดปากปิดจมูกเพราะไม่อย ากให้มีเสียงดัง หลังทำมีอาการพูดไม่ชัด หน้าข้างขวาเบี้ยว หูข้างซ้ายอื้อ มีเสียงดัง ทำคอมพิวเตอร์ ส ม อ ง พบลม (air pocket) ในเนื้อ ส มอ ง ข้างซ้ายขนาด 5.1 × 4.1 × 2.8 เซนติเมตร (ดูรูป) ตำแหน่งเดิมเหมือนเมื่อ 3 ปี 5 เดือนก่อน แต่ปริมาตรของลมในเนื้อสมองครั้งนี้น้อยกว่า ผู้ ป่ ว ย น อนในโรงพย าบาล 4 วัน อาการดีขึ้นช้าๆ กลับบ้านได้

ส า เ ห ตุ ของลมเข้าสมองทั้ง 2 ครั้งของผู้ ป่ ว ย รายนี้ คือจามแล้วเอามือปิดจมูกปิดปากพร้อมๆ กัน ปกติความ แ ร ง ของการจามทำให้ลมพุ่งออกจากจมูกและปากด้วยความเร็วสูงถึง 110 กม/ชม เนื่องจากผู้ ป่ ว ย รายนี้ปิดจมูกปิดปากขณะจาม แรงดันในช่องปากคงสูงมาก ลมผ่านจากท่อในปากเข้าหูชั้นกลางด้านซ้าย แล้วดันทะลุผ่าน ก ร ะ โห ล ก ใต้ ส ม อ ง เข้าเนื้อสมองด้านซ้าย
นอกจากลมจะรั่วเข้าสมองจากการบังคับไม่ให้จามออกทางปากและจมูกแล้ว ยังมีรายงาน แ ร ง ดั น สูงทำให้ปอดรั่ว แก้วหูทะลุ ผนังช่องคอทะลุ เส้น เ ลื อ ด ใน ส มอ ง แตกได้อีกด้วย เพราะฉะนั้น อ ย่ า ทำ ร้ า ย ตัวเองด้วยการเอามือมาปิดจมูกและปากขณะจาม เ ด็ ด ข า ด จามขณะใส่หน้ากากอนามัยไม่เป็น อั นต ร า ย เพราะลมสามารถผ่านหน้ากากได้”
ขอบคุณที่มา ข่าวสด









